アクセスアクセス

獣医師勤務表獣医師勤務表

診療案内Information

軟部外科

当院では腫瘍外科に力を入れております。
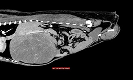
特に難しいと言われる肝臓腫瘍摘出には、CTを用いた綿密な術前計画、手術中も超音波吸引器、超音波メス、プリングル法、術中超音波検査を駆使して出血の少ない安全で適切な手術を心がけております。
また、その他甲状腺癌摘出、各種口腔内腫瘍、胸腔内腫瘍、腹腔内腫瘍で、摘出困難といわれる症例についても積極的に手術を行っております。

術前CT画像

CT画像 CT画像

超音波吸引器を使用し、血管を露出しています

※当院では、担当医の他にAGMCグループ所属の獣医師が手術または獣医師の指示のもとケアスタッフが処置を行う場合がございます。
予めご了承下さい。

動物総合医療センター千葉獣医腫瘍科認定医在籍