診療案内診療科一覧
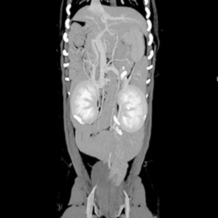
CT画像診断

CT検査により、通常の画像検査では検出しにくい病気の早期発見・診断につながる可能性が高まります。
CT画像の検査・読影のみも受け付けております。
当院では画像診断アドバイザーとして柿崎竹彦先生(北里大学獣医学部獣医学科 獣医放射線学研究室講師)からアドバイスをいただいております。
診療案内診療科一覧

CT検査により、通常の画像検査では検出しにくい病気の早期発見・診断につながる可能性が高まります。
CT画像の検査・読影のみも受け付けております。
当院では画像診断アドバイザーとして柿崎竹彦先生(北里大学獣医学部獣医学科 獣医放射線学研究室講師)からアドバイスをいただいております。